Precision Imaging with Multislice CT Technology
At Alpha Imaging and Research Center, we offer state-of-the-art CT (Computed Tomography) scanning services using advanced multislice technology, including 128-slice CT systems. Our facility in Kanpur is designed to deliver fast, accurate, and detailed cross-sectional imaging for a wide range of diagnostic needs. Whether you’re undergoing routine screening or investigating complex medical conditions, our CT services provide the clarity and speed that modern healthcare demands.
CT scans use X-rays and computer processing to generate detailed images of internal organs, bones, blood vessels, and soft tissues. They are especially valuable for detecting abnormalities that may not be visible through traditional X-rays or ultrasound. Our multislice CT scanner captures multiple slices in a single rotation, allowing for faster scans, reduced radiation exposure, and superior image resolution.
Our CT Scan Services Include
CT Brain
Ideal for detecting tumors, stroke, multiple sclerosis, and other neurological conditions.
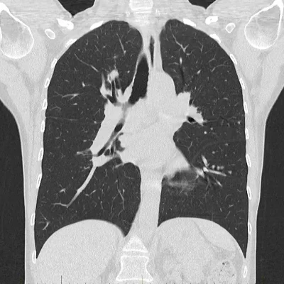
CT Chest
Cervical, thoracic, and lumbar spine imaging for disc issues, nerve compression, and spinal cord evaluation.
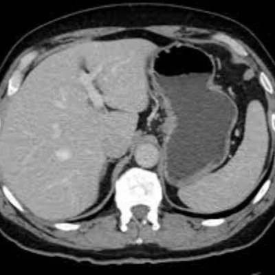
CT Abdomen & Pelvis
Detailed scans of knees, shoulders, hips, elbows, wrists, and ankles to assess ligament tears, arthritis, and sports injuries.
CT Spine
For liver, kidney, pancreas, uterus, and prostate evaluation.
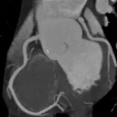
Cardiac CT Scan
Used for high-risk screening, implant evaluation, and detailed cancer assessment.
CT Angiography (CTA)
Provides insight into heart structure, function, and blood flow—especially useful for congenital or ischemic heart disease.
Denta Scan
High-resolution imaging of the jaw and teeth, useful for implant planning and dental pathology.
Sinogram
Specialized scan to evaluate sinus tracts or fistulas.
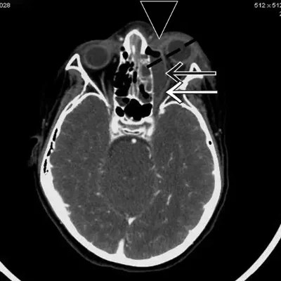
Orbit Axial CT
Focused imaging of the eye sockets and surrounding structures for trauma or tumors.
Why Choose Alpha Imaging?
Advanced Equipment: Our 128-slice CT scanner ensures rapid imaging with minimal radiation exposure.
Expert Radiologists: All scans are interpreted by experienced radiologists with subspecialty expertise in neuro, cardiac, and abdominal imaging.
Patient Comfort: Our scanning process is quick and non-invasive, with minimal preparation and maximum care.
Digital Reporting: Reports and images are accessible online, making it easy for patients and referring doctors to review results.
Second Opinion Services: We offer expert re-evaluation of previous CT scans for added diagnostic confidence.
What to Expect During Your CT Scan
Most CT scans are completed within 5–15 minutes. Depending on the type of scan, you may be asked to fast or receive a contrast agent to enhance image clarity. Our trained staff will guide you through the process, ensuring your comfort and safety throughout. For contrast-enhanced scans, we use safe, medically approved agents and monitor patients closely for any reactions.
Who Should Consider a CT Scan?
CT scans are recommended for patients with unexplained pain, trauma, suspected tumors, vascular conditions, or organ dysfunction. They are also used for pre-surgical planning and follow-up in chronic diseases. Cardiac CT is particularly useful for individuals with chest pain or risk factors for heart disease.
At Alpha Imaging, we combine cutting-edge technology with compassionate care. Our CT services are designed to deliver fast, reliable results—helping you and your doctor make informed decisions with confidence.
