Advanced MRI Diagnostics for Precision and Peace of Mind
At Alpha Imaging and Research Center, we bring cutting-edge MRI technology to Kanpur, offering a comprehensive range of magnetic resonance imaging services designed to support accurate diagnosis and effective treatment planning. Our facility is equipped with a high-performance 1.5 Tesla MRI scanner, and we are expanding toward 3 Tesla MRI capabilities for even greater image clarity and diagnostic precision.
MRI (Magnetic Resonance Imaging) is a non-invasive imaging technique that uses powerful magnetic fields and radio waves to create detailed images of organs, tissues, and structures inside the body. Unlike X-rays or CT scans, MRI does not use ionizing radiation, making it a safer option for many patients, especially those requiring repeated imaging.
Our MRI Services Include
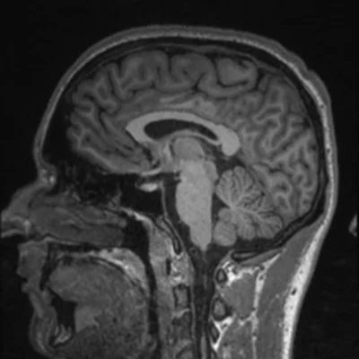
Brain MRI
Ideal for detecting tumors, stroke, multiple sclerosis, and other neurological conditions.
Spine MRI
Cervical, thoracic, and lumbar spine imaging for disc issues, nerve compression, and spinal cord evaluation.
Joint MRI
Detailed scans of knees, shoulders, hips, elbows, wrists, and ankles to assess ligament tears, arthritis, and sports injuries.
Abdomen and Pelvis MRI
For liver, kidney, pancreas, uterus, and prostate evaluation.
Breast MRI
Used for high-risk screening, implant evaluation, and detailed cancer assessment.
Cardiac MRI
Provides insight into heart structure, function, and blood flow—especially useful for congenital or ischemic heart disease.
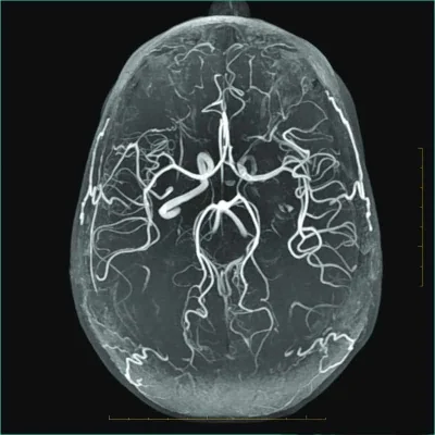
MR Angiography (MRA)
Non-invasive imaging of blood vessels in the brain, neck, chest, abdomen, and limbs.
Why Choose Alpha Imaging for MRI?
Comfortable Experience: Our MRI suite is designed to reduce patient anxiety, with a spacious bore and noise-reduction features.
Expert Radiologists: Every scan is interpreted by experienced radiologists who specialize in neuro, musculoskeletal, and abdominal imaging.
Fast Turnaround: We prioritize timely reporting without compromising accuracy—ideal for patients and referring physicians.
Online Access: Reports and images are available online, making follow-ups and second opinions seamless.
Second Opinion Facility: If you’ve had an MRI elsewhere, we offer expert re-evaluation to ensure diagnostic clarity.
Who Should Consider an MRI?
MRI is recommended for patients experiencing unexplained pain, neurological symptoms, joint instability, or organ dysfunction. It’s also a preferred modality for follow-up in chronic conditions like multiple sclerosis, cancer, or cardiac disease. Pregnant women (after the first trimester) and children may also undergo MRI when clinically indicated.
Preparing for Your MRI
Most MRI scans require minimal preparation. You may be asked to change into a gown and remove any metal objects. For certain scans, contrast agents may be used to enhance image clarity—these are safe and administered under medical supervision. Our staff will guide you through every step to ensure comfort and clarity.
