Fast, Accurate Imaging with Minimal Radiation Exposure
At Alpha Imaging and Research Center, we offer advanced digital X-ray services designed to deliver quick, high-resolution images for a wide range of diagnostic needs. Whether you’re dealing with an injury, chronic condition, or preparing for a surgical procedure, our radiography department ensures precise imaging with patient comfort and safety at the forefront.
Digital X-ray, also known as digital radiography, is a modern imaging technique that replaces traditional film with digital sensors. This allows for instant image capture, enhanced clarity, and reduced radiation exposure. Our facility in Kanpur is equipped with the latest digital X-ray systems, ensuring efficient diagnostics and faster reporting.
General Radiography for Whole-Body Imaging
Our general X-ray services cover a wide spectrum of body parts and clinical indications
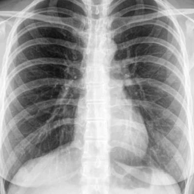
Chest X-Ray
Used to detect pneumonia, tuberculosis, lung nodules, and heart enlargement.
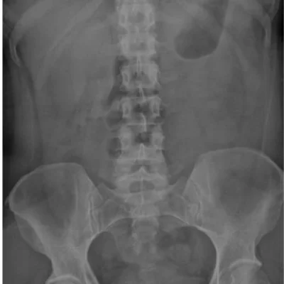
Spine X-Ray
Cervical, thoracic, and lumbar spine imaging for fractures, disc degeneration, and scoliosis.
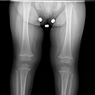
Limb X-Ray
Evaluation of bones and joints in arms and legs for fractures, arthritis, or deformities.
Skull and Sinus X-Ray
For trauma, sinusitis, or structural abnormalities.
Abdomen X-Ray
Useful for detecting bowel obstruction, kidney stones, or abnormal gas patterns.
These scans are quick, painless, and often completed within minutes. Our radiology team ensures accurate positioning and optimal image quality for every patient.
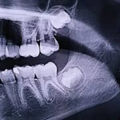
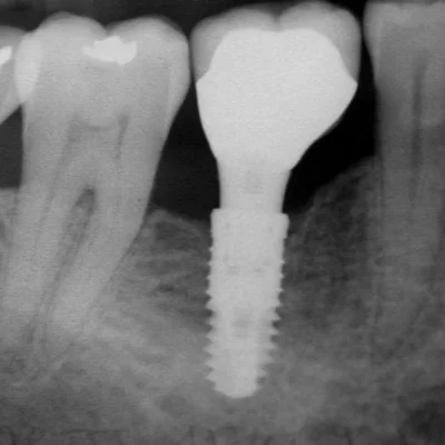
Dental X-Ray for Oral and Maxillofacial Evaluation
Dental X-rays are essential for diagnosing conditions that aren’t visible during a routine dental exam. At Alpha Imaging, we provide high-resolution dental radiography for
Tooth Decay Detection
Identifying cavities between teeth or under fillings.
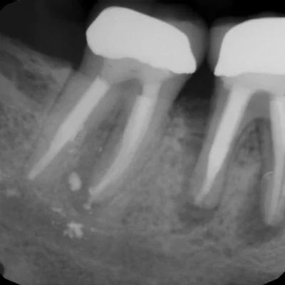
Root Canal Planning
Visualizing root structure and surrounding bone.
Implant Assessment
Evaluating bone density and jaw anatomy before dental implants.
Wisdom Tooth Evaluation
Checking for impaction or alignment issues.
Jaw and TMJ Imaging
Diagnosing joint dysfunction or trauma.
Our dental X-ray system offers precise imaging with minimal radiation, making it safe for both adults and children. We work closely with dental professionals to ensure seamless integration of imaging into treatment plans.
Why Choose Alpha Imaging for MRI?
Advanced Digital Systems: Our equipment delivers sharper images with lower radiation doses.
Experienced Radiologists: Every scan is interpreted by qualified experts for accurate diagnosis.
Quick Turnaround: Most X-rays are completed and reported within the same day.
Online Access: Patients and referring doctors can view reports and images digitally.
Second Opinion Services: We offer re-evaluation of previous X-rays for added clarity and confidence.
Patient-Centric Experience
We understand that diagnostic imaging can be stressful, especially for children or elderly patients. Our staff is trained to provide a calm, respectful environment and guide you through each step of the process. From positioning to post-scan instructions, we ensure your comfort and safety throughout.
Whether you need a routine chest X-ray, a detailed dental scan, or urgent imaging for injury assessment, Alpha Imaging is your trusted destination for fast, reliable radiography in Kanpur. Book your appointment today and experience diagnostic care that puts your health first.
