Ultrasound Services

Safe, Real-Time Imaging for Every Stage of Life

At Alpha Imaging and Research Center, we offer a full spectrum of ultrasound services using advanced sonographic equipment and expert radiological interpretation. Ultrasound is one of the safest and most versatile diagnostic tools available today. It uses high-frequency sound waves to produce real-time images of internal organs, tissues, and blood flow—without any radiation exposure.

Whether you’re undergoing a routine health check, monitoring pregnancy, or investigating specific symptoms, our ultrasound services are designed to deliver clarity, comfort, and confidence.

General Ultrasound

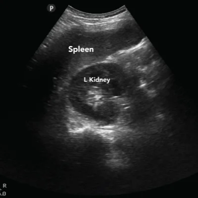
Our general ultrasound scans help visualize major organs and soft tissues, including

Abdomen

Liver, gallbladder, pancreas, kidneys, spleen

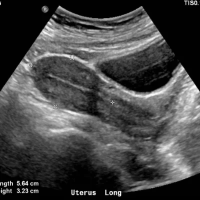
Pelvis

Uterus, ovaries, bladder, prostate

Thyroid

Evaluation of nodules, enlargement, or cysts

These scans are commonly used for abdominal pain, swelling, or abnormal lab results. They are quick, non-invasive, and require minimal preparation.

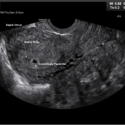
Obstetric Ultrasound

We specialize in obstetric imaging to support mothers and babies throughout pregnancy

Early Pregnancy Scans

Confirm gestational age and fetal viability

Fetal Growth Scans

Track development and detect anomalies

NT Scan

Nuchal translucency screening for chromosomal risks

Level II / TIFFA Scan

Detailed anomaly scan to assess fetal organs and structure

Our team ensures a calm, respectful environment for expectant mothers, with clear communication and compassionate care at every stage.

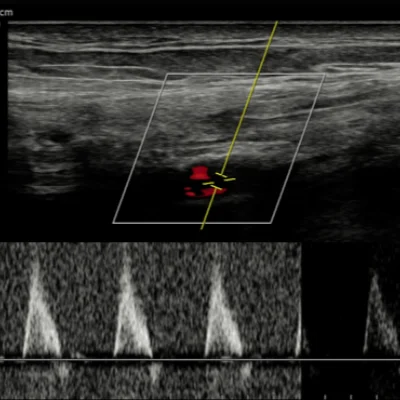
Doppler Ultrasound

Doppler studies assess blood flow in arteries and veins, helping detect

Deep vein thrombosis (DVT)

Peripheral artery disease

Carotid artery narrowing

Placental blood flow in pregnancy

These scans are crucial for vascular health and prenatal monitoring, offering dynamic insights into circulation.

Small Parts Ultrasound

We provide targeted imaging for smaller anatomical regions

Thyroid

Detect nodules, goiters, or inflammation

Breast

Evaluate lumps, cysts, or post-mammography findings

Scrotum

Assess pain, swelling, or infertility-related issues

These scans are performed with precision and privacy, ensuring patient comfort and diagnostic accuracy.

Follicular Study

For individuals undergoing fertility treatment or natural cycle monitoring, follicular studies track ovarian follicle development. These scans help determine ovulation timing and guide assisted reproductive procedures.

Ultrasound-Guided Procedures

We offer image-guided interventions such as:

  • Biopsies: For thyroid, breast, lymph nodes, or soft tissue masses

  • Fluid Aspirations: From cysts or abscesses

  • Drainage Procedures: Under real-time visualization

These procedures are performed by skilled radiologists using sterile techniques and continuous imaging support.

 

Why Choose Alpha Imaging?

  • Advanced Equipment: High-resolution ultrasound machines with Doppler and 3D capabilities

  • Expert Radiologists: Specialized in obstetric, abdominal, and interventional imaging

  • Patient-Centric Care: Respectful, private, and empathetic approach for all age groups

  • Online Reporting: Access your results digitally for convenience and continuity

  • Second Opinion Services: Re-evaluation of previous scans for added clarity

 

At Alpha Imaging, we combine technology and compassion to deliver ultrasound services that empower your health journey. Whether you’re planning a family, managing a condition, or seeking peace of mind, our team is here to support you with precision and care.

Scroll to Top